 

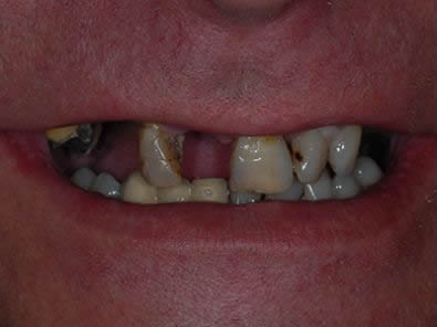
This gentleman had failing and missing upper teeth. these were removed, dental implants placed and dental bridges were constructed...
Read More 

This gentleman was missing his back tooth and it was replaced with a dental implant.
Read More 

We placed dental implants and provided her with fixed teeth all on the same day.
Read More





 our patients
 our patients"Dear Dr Dattani, I am so thrilled with the outcome of my recent dental work I wanted to write and express my thanks to you and the talented technician who…"
Read All Testimonials our patients
 our patients"Thank you for my lovely new set of teeth, fantastic treatment and great staff. Thank you to Senal for constantly trying to keep me smiling when I really wanted to…"
Read All Testimonials our patients
 our patients"Thanks due to a fantastic staff who put me at ease. I am now NOT a nervous patient but am addicted to the dentist! Thank you all for giving me…"
Read All Testimonials our patients
 our patients"Guess who? Just a few words to all the guys. Thanks, you’re all very friendly and have given me my smile back, so again thank you. Well what can I…"
Read All Testimonials our patients
 our patients"Thanks Dr Dattani for sorting out my fillings, it’s the best treatment I have ever received by a dentist and I’m very, very happy. Money well spent!"
Read All Testimonials
