This procedure accurately replicates the look and feel of a natural tooth, providing you with a natural-looking smile.
For your comfort, a local anaesthetic is used to numb the affected area completely. During the treatment, we will use a titanium screw that will be fitted as a root for your replacement tooth. Then, your custom implant will be attached and fixed to the screw.
It should take about 3-6 months for your implant to bond with the jawbone. Once your dental implant is done, it will look, function and feel just like your natural teeth. With a proper maintenance plan, excellent oral hygiene and regular check-ups with Kent Smile Studio, your implants should last over twenty years.
There are various benefits of having a single tooth dental implant, and some of them may include:
"Dear Dr Dattani, I am so thrilled with the outcome of my recent dental work I wanted to write and express my thanks to you and the talented technician who…"
"Thank you for my lovely new set of teeth, fantastic treatment and great staff. Thank you to Senal for constantly trying to keep me smiling when I really wanted to…"
"Thanks due to a fantastic staff who put me at ease. I am now NOT a nervous patient but am addicted to the dentist! Thank you all for giving me…"
"Guess who? Just a few words to all the guys. Thanks, you’re all very friendly and have given me my smile back, so again thank you. Well what can I…"
"Thanks Dr Dattani for sorting out my fillings, it’s the best treatment I have ever received by a dentist and I’m very, very happy. Money well spent!"


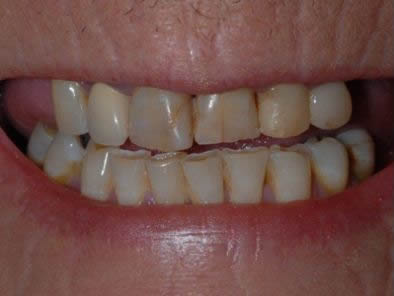
This gentleman was missing his back teeth and we provided 2 dental implants and supported a dental implant bridge.
Read More

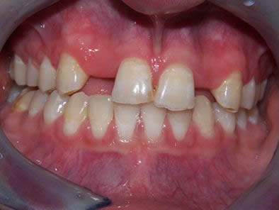
This young lady had missing front teeth due to a problem with their development. She was also a grinder, and had worn down her front teeth. We…
Read More

This gentleman had lost his front tooth due to trauma. We replaced it with a dental implant as well as whitened his teeth.
Read More

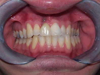
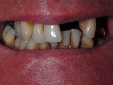
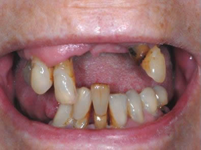
This gentleman had failing and missing upper teeth. these were removed, dental implants placed and dental bridges were constructed.
Read More

Fractured bridge replaced with full ceramic crowns and dental implants
Read More

This lady wasn't comfortable in her smile and would seldomly smile. We regained her confidence by whitening her teeth, veneering her front teeth and replacing her back…
Read More

This lady had severe gum disease and all her upper teeth where loose. We removed all her upper teeth, placed dental implants and provided her with fixed…
Read More

We placed dental implants and provided her with fixed teeth all on the same day.
Read More

We placed dental implants and provided her with fixed teeth all on the same day.
Read More

We placed dental implants and provided him with fixed teeth all on the same day.
Read More

We placed dental implants and provided her with fixed teeth all on the same day.
Read More

We placed dental implants and provided her with fixed teeth all on the same day.
Read More

This gentleman was at the end of his tether by not being able to stabilise his lower denture. 2 dental implants were placed in the lower jaw,…
Read More

This gentleman was missing his back teeth and we provided 2 dental implants and supported a dental implant bridge.
Read More

This young lady had missing front teeth due to a problem with their development. She was also a grinder, and had worn down her front teeth. We…
Read More

This gentleman had lost his front tooth due to trauma. We replaced it with a dental implant as well as whitened his teeth.
Read More

This gentleman had failing and missing upper teeth. these were removed, dental implants placed and dental bridges were constructed.
Read More

Fractured bridge replaced with full ceramic crowns and dental implants
Read More

This lady wasn't comfortable in her smile and would seldomly smile. We regained her confidence by whitening her teeth, veneering her front teeth and replacing her back…
Read More

This lady had severe gum disease and all her upper teeth where loose. We removed all her upper teeth, placed dental implants and provided her with fixed…
Read More

We placed dental implants and provided her with fixed teeth all on the same day.
Read More

We placed dental implants and provided her with fixed teeth all on the same day.
Read More

We placed dental implants and provided him with fixed teeth all on the same day.
Read More

We placed dental implants and provided her with fixed teeth all on the same day.
Read More

We placed dental implants and provided her with fixed teeth all on the same day.
Read More

This gentleman was at the end of his tether by not being able to stabilise his lower denture. 2 dental implants were placed in the lower jaw,…
Read More“I throughly recommend Smiles Studio , Warderslade for dental treatment , having had three implants completed by Dr Shushil Dattani over a number of years , latest completed this week.”
“The entire team at Kent Smile Studio are truly exceptional. Having been a patient for several years I’ve had most dental procedures carried, most recently being a front implant, once...”again Dr Dattani & implant nurse Sam could not have treated me better. I highly recommend KSS.”
“If your looking for a new dentist then defiantly give these guys a go, they are very efficient friendly, my son has already changed to the Walderslade surgery, great prices...”and spotlessly clean with state of the art equipment. I had a dental implant and can’t fault the care.”
“This is a really professional and friendly practice. The care is amazing. Everything is discussed and explained in full. Costings are provided and are clear and adhered...”to. The staff are really caring and kind. Dr Dattani carried out my dental implants. His care and professionalism was first class and his nurse Sam is brilliant I am over the moon with the results. I would highly recommend Kent Smile Studio. I signed up to have my implants there but have moved all my dental care to the practice because I am so impressed.”
“Smile Dentist was recommended to me by two friends. I wanted to know about dental implants as I found online information quite confusing. Dr Dattani was very very professional...”also kind he explained everything to me from the very beginning right up to having the implants fitted. He explained all the procedures showing me exactly what he was going to do. I’m so pleased I have found him and now my friends are considering implants by him as well. If I could give more than five stars I would double them.”
“Dr Dittani is wonderful. I’ve had 3 implants with him now and am thrilled with the results. He is professional but friendly and I highly recommend him.”
“I can unreservedly recommend Dr Duttani who dealt with my dental implant. It was a smooth process from start to finish and my implant looks very like my other...”teeth. I found Dr Duttani to be very skilled and I am delighted with the results. Dr Duttani is very approachable and friendly and explains everything clearly and concisely. The whole team is polite and efficient and the dental practice is clean and well cared for with on-site parking.”
“An exceptional dental practice! I have just completed my implant treatment and couldn't be happier! Dr Dattani and Sam were kind and caring throughout and explained everything to me. They...”have honestly turned me from being extremely nervous of dentists, into a person that actually looked forward to each visit!! The whole practice is built on an ethos of caring professionalism and I would recommend them to anyone. If you too are scared/nervous at the thought of going to the dentist, give Kent Smile Studio a call, you honestly, won't be disappointed!”
“Had an amazing experience with Smile Studio. Would 100% recommend implants with them. It was quick, easy , pain free and most of all a brilliant result xxxxx”
“Dr Dattani fitted me with a full upper jaw implant circa 2011 and has maintained this implant ever since. Excellent Dental Surgeon. Highly recommended.”
“I have not fond of dentists in the past, to say the least. However, my experiences with Kent Smile Studio have gone a long way to allaying my dislike. I...”went there to have implants and everybody there was kind and reassuring and did their best to make my experience as easy and stress free. Mr Dattani was excellent, as were the nurses and my new teeth are top notch. I cannot recommend the Kent Smile Studio highly enough.”
“Lovely friendly staff always clean. And tidy ample parking. Dental staff are brill and talk u through the procedure and tell you the cost before the treatment starts.”
“I have not fond of dentists in the past, to say the least. However, my experiences with Kent Smile Studio have gone a long way to allaying my dislike. I...”went there to have implants and everybody there was kind and reassuring and did their best to make my experience as easy and stress free. Mr Dattani was excellent, as were the nurses and my new teeth are top notch. I cannot recommend the Kent Smile Studio highly enough.”
“Excellent service from start to finish. Proves that dental work can be a completely painless experience.”
“Nice dental practice, very clean and tidy, staff very polite and helpful, would highly recommend.”
“Ever since being recommended to Smilemaker back in 2015, I have never been to another dentist, due to the friendly service and honesty with all the treatment I have had...”there, from my dental implant, fixed retainers, removable retainers and hygienist cleans. Top quality business throughout.”
“Very pleased with the excellent service provided by the friendly and professional staff at Smilemaker Dental Care.”
“Professional, efficient and friendly staff. My wife and i have been with them for many years and have always been very satisfied with their approach to our dental care.”
“Always a pleasure to visit this dental clinic. Nice, kind and friendly staff with pain free treatment.”
“All staff at this dental surgery are fantastic. They are so welcoming and the level of care is brilliant. I would highly recommend.”
“High recommend this lovely dental surgery. Been going for years now and would not go anywhere else ! Christine”
“I’ve been attending this dental practice for over 20 years and have received expert care and attention at every appointment. Over the years I’ve undergone extensive restorative and cosmetic dental procedures...”with very pleasing and natural looking results. I’ve always been fully informed re the options available and felt supported to make the right decisions. Amir is an outstanding dentist and all members of the team are friendly, helpful and knowledgable. Thoroughly recommend!!”
