A crown, which is also known as a cap, is placed over a tooth to make it stronger, restore its shape, maintain the size and make it look better. This restorative solution is also a suitable way to fix implants and is often combined with fillings and bridges.
There are a wide variety of reasons a dental crown would need to be used including, but not limited to:
With dental technology advancing at great speed over recent years, there is now a wide variety of materials which can be used to manufacture dental crowns. Each differs in its respective advantages.
"Dear Dr Dattani, I am so thrilled with the outcome of my recent dental work I wanted to write and express my thanks to you and the talented technician who…"
"Thank you for my lovely new set of teeth, fantastic treatment and great staff. Thank you to Senal for constantly trying to keep me smiling when I really wanted to…"
"Thanks due to a fantastic staff who put me at ease. I am now NOT a nervous patient but am addicted to the dentist! Thank you all for giving me…"
"Guess who? Just a few words to all the guys. Thanks, you’re all very friendly and have given me my smile back, so again thank you. Well what can I…"
"Thanks Dr Dattani for sorting out my fillings, it’s the best treatment I have ever received by a dentist and I’m very, very happy. Money well spent!"


















Fractured bridge replaced with full ceramic crowns and dental implants
Read More

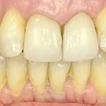
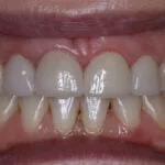
This lady wasn't happy with her worn down front teeth and the gap in between the front two teeth. We placed cosmetic crowns on her front teeth.
Read More

This lady wasn't happy with her smile as her old crowns made is uncomfortable for her to smile as they were to yellow. We replaced those with…
Read More

White spot treatment (ICON) and replacement with full ceramic crown
Read More

This gentleman wanted straight and white teeth. He opted for cosmetic crowning of all his visible upper and lower teeth. 7 years on, the teeth are still…
Read More

This young gentlemen had a failing front tooth. Also, he wished for whiter teeth. He opted for his front tooth to be extracted and replaced with an…
Read More

















Fractured bridge replaced with full ceramic crowns and dental implants
Read More

This lady wasn't happy with her worn down front teeth and the gap in between the front two teeth. We placed cosmetic crowns on her front teeth.
Read More

This lady wasn't happy with her smile as her old crowns made is uncomfortable for her to smile as they were to yellow. We replaced those with…
Read More

White spot treatment (ICON) and replacement with full ceramic crown
Read More

This gentleman wanted straight and white teeth. He opted for cosmetic crowning of all his visible upper and lower teeth. 7 years on, the teeth are still…
Read More

This young gentlemen had a failing front tooth. Also, he wished for whiter teeth. He opted for his front tooth to be extracted and replaced with an…
Read More“I've recently had a crown on a very damaged molar tooth. I was amazed at the results as I sincerely thought there was very little left to work on. ...”I was anxious and nervous about the procedure but Dr. Milda Stakenaite made me feel comfortable and relaxed. She explained everything very thoroughly and answered all my questions. She was very knowledgeable, competent and amazingly calm in spite of my fears. I am very pleased and satisfied with the results of my procedure and the professionality of all staff working there.”
“Called as had something stuck between my crown and the adjoining tooth and I had been unable to release it on over 24 hours. The receptionist at the surgery said...”come straight down and wait. Was told my dentist was busy but she would see if someone else may see me. Was seen by my dentist as soon as I got there and with great relief Melody managed to release the offending article. She also advised me of about a floss that could be threaded between the cusps of the teeth to help if it happened again. Used to object about going to the dentist but Melody is lovely and very understanding of my worries so now I go regularly as she and her staff put me at ease.”
“Had a loose crown which refused to come out and it took several visits before it did so and was recemented firmly in place. Dr Amir Tarki was so careful...”not to cause distress or to damage the crown which would have been a very expensive repacement. I can't thank him enough for his care and patience. A special mention also to Hayley Johnson, the dental hygenist, who also provided me with a thorough dental cleaning and some great advice on how to manage my loose crown as it worked its way out.”
