This teeth-restorative method is quick enough to be completed within a single appointment, and some patients may not even require an anaesthetic as it is less invasive than other treatments. Cosmetic bonding is made of resin that can easily be matched to the colour of your natural teeth, providing you with an aesthetically pleasing appearance.
Additionally, cosmetic bonding may also be combined with other methods to improve the state of your teeth (for example, teeth whitening).
Typically, cosmetic bonding requires no anaesthetic and is considered to be a minimally invasive cosmetic treatment. During the procedure, your dedicated dentist will use a composite resin to match and bond with your natural tooth to repair it and improve its appearance.
The application of the product may be a quick procedure that can be completed within one visit to our clinic. It involves coating the treated tooth with resin and curing it with UV light. Afterwards, your dentist shapes and polishes the hardened product until it feels looks and functions just like your natural teeth.
"Dear Dr Dattani, I am so thrilled with the outcome of my recent dental work I wanted to write and express my thanks to you and the talented technician who…"
"Thank you for my lovely new set of teeth, fantastic treatment and great staff. Thank you to Senal for constantly trying to keep me smiling when I really wanted to…"
"Thanks due to a fantastic staff who put me at ease. I am now NOT a nervous patient but am addicted to the dentist! Thank you all for giving me…"
"Guess who? Just a few words to all the guys. Thanks, you’re all very friendly and have given me my smile back, so again thank you. Well what can I…"
"Thanks Dr Dattani for sorting out my fillings, it’s the best treatment I have ever received by a dentist and I’m very, very happy. Money well spent!"
Welcome to our Smile Gallery, where you can explore stunning before-and-after transformations showcasing the beautiful, healthy smiles we’ve created for our happy patients. Let these real results inspire your own journey to a confident, radiant smile!


































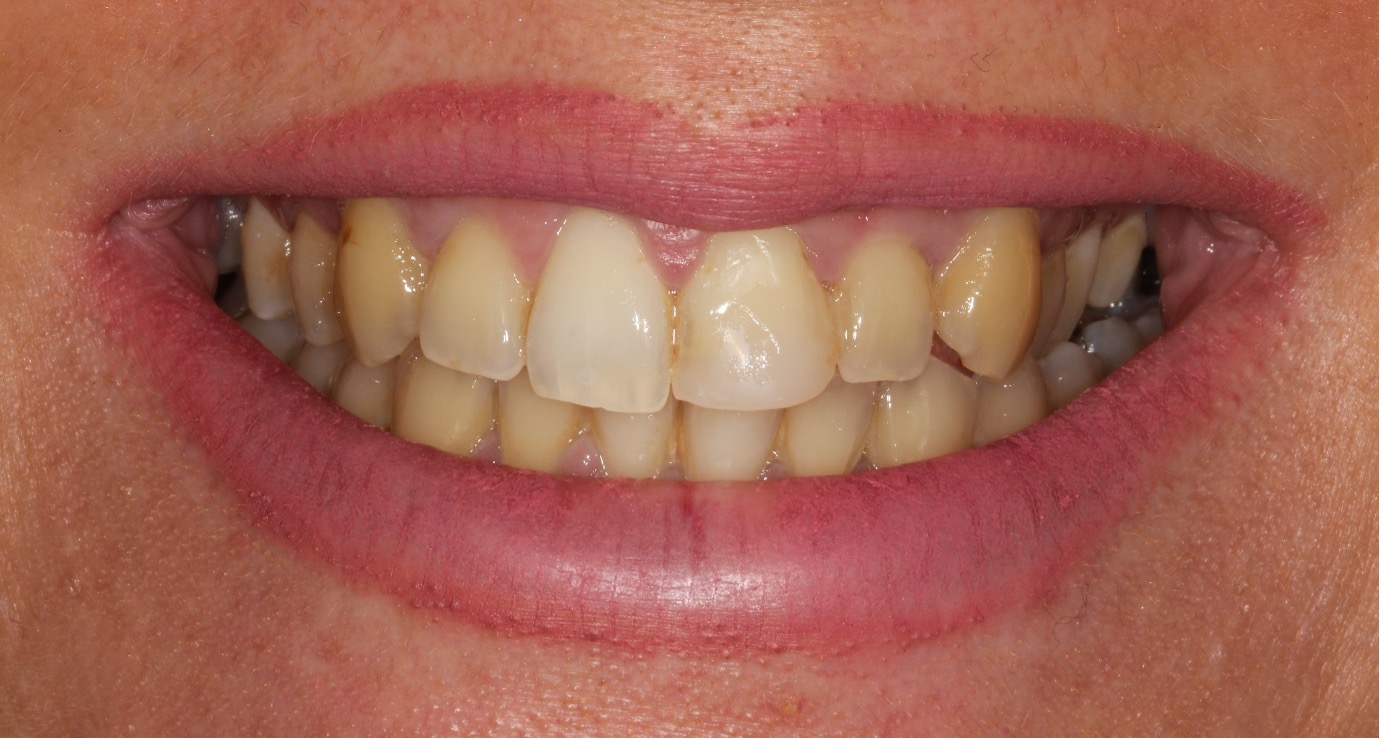
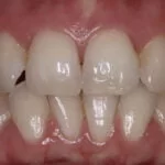
Treatment of wear and enamel cracks through whitening and composite bonding techniques
Read More









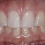
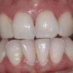
This lady wasn't happy with the shape of her front two teeth. We recontoured her teeth with cosmetic bonding procedure.
Read More

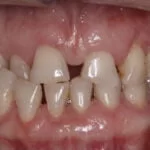
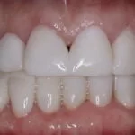
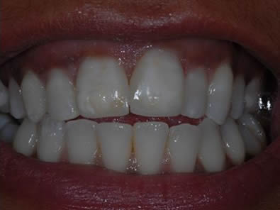
The lady wasn't happy with the gap in the front of her two teeth. We recontoured her teeth with cosmetic bonding procedures.
Read More



































Treatment of wear and enamel cracks through whitening and composite bonding techniques
Read More









This lady wasn't happy with the shape of her front two teeth. We recontoured her teeth with cosmetic bonding procedure.
Read More

The lady wasn't happy with the gap in the front of her two teeth. We recontoured her teeth with cosmetic bonding procedures.
Read More

“I've been a patient at the Kent SMILE branch in Chatham, and I couldn't be happier with my experience. The practice is spotless and modern, and the staff are incredibly...”friendly, creating a welcoming and comfortable environment. My dentist, Milda, is exceptionally professional and talented. I recently had composite bonding done on my front teeth, and the results are outstanding. My teeth look fantastic!”
“A huge thank you to Dr. Viraj Menon and Dental nurse Beth - I had my initial consultation this morning regarding fillings and cosmetic bonding.The process was clear and informative...”and I was made to feel at ease throughout.Different options for achieving the the smile I would like were advised with the pros and cons. The quote I’ve received is great value for money, I’m now looking forward to my next visit.Thanks again Jason.”
“I have had a great experience getting my composite bonding done with Dr Amir Tarki at Kent Smile studio!I got the bonding done back in 2022, and after the initial...”version of my new teeth were done, I was able to come back to fix some initial chipping and to adjust the shape free of charge! The quality is great as they then lasted a over 2 years before I got my first chip, which was cheap and easy to fix. I was also able to opt for a personalised shape for natural looking front teeth. Would very highly recommend Dr Amir and the studio! Thanks!”
“I am so grateful to live so close by to SmileMaker. I had been to a few dentists far and wide as I needed cosmetic work done however none had...”delivered a result I had hoped for until I found Dr Amir who has quite literally changed my life for the better. I was beyond pleased with how my teeth looked after treatment. I had aligners, whitening, cosmetic bonding and a bridge fitted. I would highly recommend Dr Amir especially if you are someone afraid of the dentist or previously had bad experiences. All of the staff are so friendly and welcoming and Dr Amir is extremely gentle. Not forgetting to mention the Hygienist who is also fantastic!”
“"Smile Dentist was recommended to me by two friends. I wanted to know about dental implants as I found online information quite confusing. Dr Dattani was very very professional...”also kind he explained everything to me from the very beginning right up to having the implants fitted. He explained all the procedures showing me exactly what he was going to do. I’m so pleased I have found him and now my friends are considering implants by him as well. If I could give more than five stars I would double them."”
