
White spot treatment (ICON) and replacement with full ceramic crown

Advanced bone grafting and dental implant rehabilitation


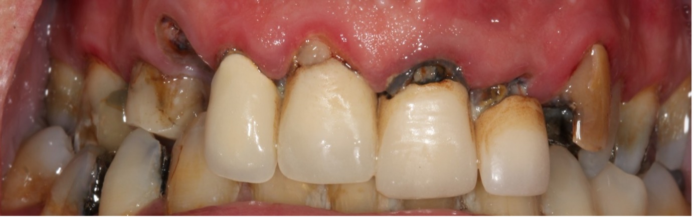
Fractured bridge replaced with full ceramic crowns and dental implants
Read More




"Thank you for my lovely new set of teeth, fantastic treatment and great staff. Thank you to Senal for constantly trying to keep me smiling when I really wanted to…"
Read All Testimonials"Thanks due to a fantastic staff who put me at ease. I am now NOT a nervous patient but am addicted to the dentist! Thank you all for giving me…"
Read All Testimonials"Guess who? Just a few words to all the guys. Thanks, you’re all very friendly and have given me my smile back, so again thank you. Well what can I…"
Read All Testimonials"Thanks Dr Dattani for sorting out my fillings,it’s the best treatment I have ever received by a dentist and I’m very, very happy. Money well spent!"
Read All Testimonials"Dear Dr Dattani, I am so thrilled with the outcome of my recent dental work I wanted to write and express my thanks to you and the talented technician who…"
Read All Testimonials